Sorry, you need to enable JavaScript to visit this website.
Skip to main content
Interventioneel

Radiofrequente behandeling van het ganglion van Gasser

De nervus trigeminus – of vijfde hersenzenuw – is verantwoordelijk voor het gevoel in het gezicht. Deze zenuw vertakt zich in drie hoofdtakken ter hoogte van het ganglion van Gasser, een zenuwknoop aan de schedelbasis.

Bij trigeminusneuralgie ontstaan er korte, felle pijnscheuten in het aangezicht, die vaak worden uitgelokt door lichte aanraking, kauwen, praten of temperatuursveranderingen. Deze pijn wordt als zeer intens en invaliderend ervaren.

Door middel van een radiofrequente behandeling van het ganglion van Gasser wordt een kleine, gecontroleerde beschadiging aangebracht om de pijngeleiding tijdelijk te onderbreken. Dit gebeurt onder narcose en met nauwkeurige beeldgeleiding.

Verloop van de behandeling

Voor de behandeling wordt bloed afgenomen om de bloedstolling te controleren. U dient nuchter te zijn. U krijgt een infuus en preventieve antibiotica toegediend om infecties te voorkomen.

De procedure gebeurt onder lichte narcose in rugligging, met voortdurende bewaking van bloeddruk, hartslag, ademhaling en zuurstofgehalte. De huid bij de wang wordt ontsmet en lokaal verdoofd.

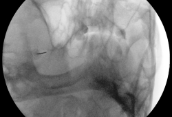
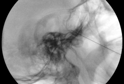
Een fijne naald wordt geplaatst richting het ganglion via het wanggebied, onder röntgendoorlichting. Vervolgens wordt u kort wakker gemaakt om elektrische stimulaties te beoordelen. Op basis van uw feedback over het pijngebied, wordt de juiste zenuwtak geïdentificeerd.

Daarna wordt u opnieuw in slaap gebracht en wordt met radiofrequente stroom een kleine letselzone aangebracht in het ganglion. Dit proces wordt indien nodig herhaald tijdens dezelfde sessie.

Na de behandeling blijft u ongeveer één uur in de recovery onder observatie. Een ijszak wordt geplaatst op de prikplaats om zwelling te beperken. Daarna wordt u naar de kamer gebracht voor een overnachting.

Mogelijke bijwerkingen

  • Gevoelsstoornissen in het behandelde deel van het gezicht
  • Blauwe plek of zwelling op de wang door prik van een bloedvaatje
  • Krachtsverlies in de kauwspieren, meestal tijdelijk
  • Zeldzame complicaties:
    • Hersenvliesontsteking, door mondbacteriën die via de prik naar het hersenvocht migreren
    • Bloedingen in de hersenen, zeer uitzonderlijk maar ernstig

Indicaties

Deze behandeling is aangewezen bij trigeminusneuralgie, met pijn in één van de volgende gebieden:

  • Boven het oog en voorhoofd (V1)
  • Tussen oog, neus en bovenkaak (V2)
  • Onderkaak, tong of kin (V3)

Anticoagulantia

Het is aangewezen om bepaalde bloedverdunnende geneesmiddelen op voorhand te stoppen. Gelieve dit zeker vooraf te bespreken met uw huisarts of verwijzende arts.

Geïnformeerde toestemming

Er zal uw schriftelijke toestemming gevraagd worden om de behandeling te laten verrichten. Wegens nieuwe regelgeving zijn we hiertoe genoodzaakt. U dient hiervoor een verklaring te tekenen waarbij u bevestigt voldoende geïnformeerd te zijn over de behandeling en mogelijke nevenwerkingen.

Kostprijs

De artsen werkzaam in het pijncentrum zijn volledig geconventioneerd. De officiële tarieven zonder ereloonsupplementen kunnen aangerekend worden. Het honorarium dat aangerekend wordt door de arts voor een radiofrequente behandeling van het ganglion van Gasser is afhankelijk van de nomenclatuur zoals voorzien door het RIZIV.

Heeft u een vraag voor ons team?

Het Multidisciplinair pijncentrum is iedere weekdag beschikbaar van 8u tot 17u. In het weekend en feestdagen is het centrum gesloten.

Contacteer ons